山王パークタワー診療室に戻る

渋谷道玄坂診療室に戻る

一般歯科
歯科矯正
歯科口腔外科
審美歯科
インプラント
ホワイトニング
PMTC
エアフロー
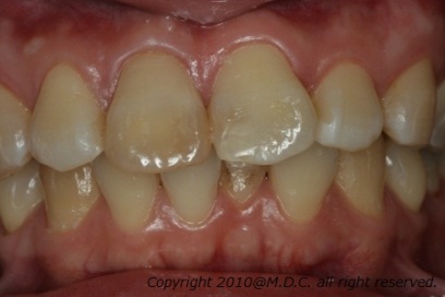
右上の前歯が真っ黒!

術前

写真の角度が違うのはご愛嬌ということで

ホワイトニング1回目終了後

ほとんどわからなくなったでしょ

ホワイトニング2回目終了後



術前の歯の色がかなり左右で差があったので、2回のホワイトニングが必要でした。ただ、歯は黒く変色していたものの、歯そのものは傷も無く治療のあとも虫歯も無いので、殆ど左右差無くホワイトニングすることが出来ました。



| 戻る |



Copyright 2010@M.D.C.山王. all right reserved.