山王パークタワー診療室に戻る

渋谷道玄坂診療室に戻る

一般歯科
歯科矯正
歯科口腔外科
審美歯科
インプラント
ホワイトニング
PMTC
エアフロー

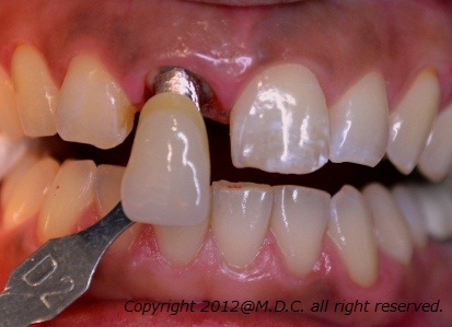
術前


術後


右上の前歯(所謂差し歯)が壊れてしまい、新しく作りました。色が微妙に違ったので一度やり直しましたが、結果は良好だと思います。写真の色目が違うのはご勘弁を…。



| 戻る |



Copyright 2010@M.D.C.山王. all right reserved.